Shoes: Form over Function

               The problem with modern shoes is the priority of fashion over function. Every shoe manufacturer is guilty of this. The standard shoe is shaped like this:

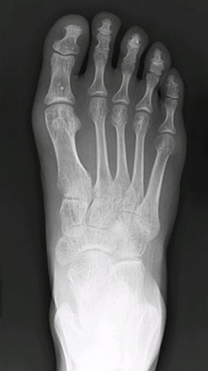
Notice how the toe box is tapered as if the shoe needs to be aerodynamic. This is purely aesthetic. Shoes should be shaped according to feet. In modern society, however, feet are shaped according to shoes:

  

On the left is the standard foot for a person who grew up wearing shoes. Notice how the bones are crooked instead of straight. On the right is a Photoshopped, hypothetical natural foot. The toes fan out.

Foot binding is the extreme version of this and practiced in ancient China. Today’s shoes cause just slight foot binding. The severity depends on how often a person wears shoes and the curvature of the toe box. Toes become cramped and slightly overlap each other. Feet do not grow as wide as nature intended, especially at the toes. This results in less stability when standing. The pinky toe grows curved, weak, and useless. And perhaps most tragic: nerves get compressed and pinched. People experience shooting pain when turning suddenly or putting weight on the toes. It’s known as Morton’s neuroma. Numbness and swelling also result from pinched nerves.

In general, why should one choose to be natural over unnatural? Because we are a part of nature; humans will always be bound by nature’s limits. To not live as nature intended is to swim against the current. It’s futile. Society needs to accept the fact that toes spread out and make functional shoes.



Back to Buism.com
© Buism 2021